Locales | El objetivo de esta herramienta es brindar nociones y conceptos básicos sobre finanzas personales, familiares y visibilizar la problemática de la inclusión financiera a través de la incorporación de información sobre su magnitud, con datos de Argentina y la provincia del Chaco.
Locales |

El nuevo cargamento de vacunas que ingresó a la provincia servirá para completar esquemas de inmunización en el marco de la Campaña de Vacunación Provincial contra el COVID-19 iniciada el pasado 29 de diciembre.
Locales | Al igual que en otras dependencias, Gustavo destacó la continuidad de la campaña de vacunación antigripal para trabajadores municipales que integran la plantilla del Centro Comunitario Municipal (CCM) del barrio Güiraldes y de la delegación municipal de esa populosa comunidad de la zona sur.
Locales |

Así lo adelantó Ricardo Eiden, secretario del Centro de Industriales Panaderos de Chaco, en diálogo con CIUDAD TV. Estiman que el precio del pan podría variar entre $10 y $15 pesos de los costos actuales.

Locales | El Directorio de la empresa verificó el resultado de las acciones realizadas en la barriada y se reunió con la comisión vecinal para diagramar futuras intervenciones que permitan mejorar la calidad de los servicios.
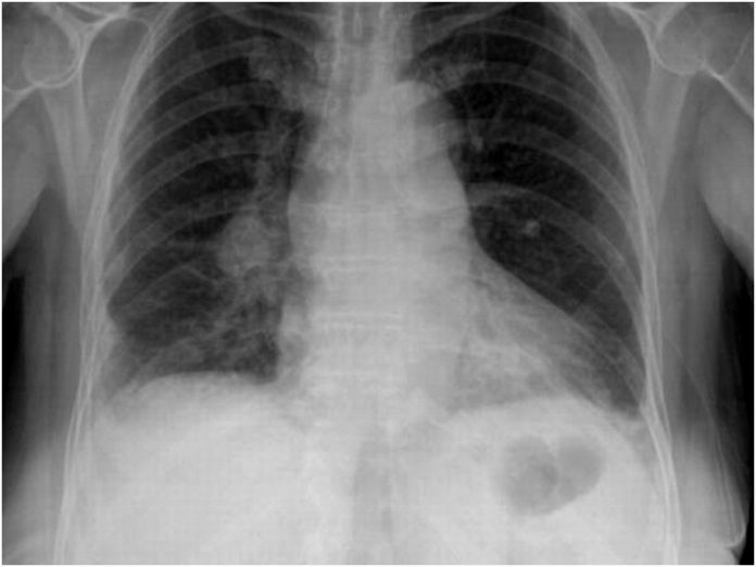
Locales | Así lo informó el Ministerio de Salud provincial. Con estas, suman 1.071 las muertes de pacientes con diagnóstico confirmado de COVID-19. Actualmente hay 30 personas en terapia intensiva con asistencia respiratoria mecánica. Por otra parte, se confirmaron 334 casos en las últimas 24 horas, lo que hace un total acumulado que roza los 46 mil.

Locales | Así lo establece la resolución del Ministerio de Educación 2436/21. Será en todas las instituciones educativas públicas estatales, de todos los niveles y modalidades.
Locales |

El jueves amaneció con una temperatura mínima de 10°C y una máxima de 18°C, lo que obligó a sacar camperas y todo tipo de abrigos del placar. Las bajas temperaturas seguirán al menos hasta el sábado.
Locales | Operarios especializados de la empresa provincial realizaron el cambio de aislación de dos líneas de 132 Kv que provienen de Puerto Bastiani hacia la zona norte y sur del Gran Resistencia, y que alimentan energía eléctrica a un 60% de toda el área metropolitana y zonas aledañas.
Locales | Lo informó este jueves el gobernador, Jorge Capitanich. Señaló que desde el lunes se vienen registrando un aumento sostenido de casos en la capital chaqueña, identificándose 17 zonas con clústers de contagios. Actualmente, la capital chaqueña tiene 1013 casos activos, lo que representa al 37,5% del total provincial.

Locales | La provincia registró un crecimiento de la cantidad de personas que se incorporaron al mercado laboral por noveno período mensual consecutivo, liderando al grupo de provincias que continúa con Formosa, Santa Fe y Santiago del Estero (6 meses de crecimiento); Chubut (5 meses); y Tucumán (con cuatro meses seguidos de crecimiento).
Locales | Durante la reunión, encabezada por el ministro de Educación de Nación, Nicolás Trotta, el sistema educativo argentino acordó una política común para preservar y fortalecer la presencialidad y el cuidado de la vida en todas las provincias.
Locales | A través del Plan Provincial de Seguridad y Soberanía Alimentarias se brinda contención a pacientes con celiaquía de sectores vulnerables, brindando acceso a módulos alimentarios y a talleres de preparación de alimentos.
Locales |

La iniciativa fue presentada por el Presidente y la Vicepresidenta para concluir 55.000 viviendas paralizadas en todo el país, desde la gestión de Mauricio Macri. En la provincia, son casi 5.000 las unidades que quedaron inconclusas y que se están reactivando mediante esta iniciativa y otras operatorias. La inversión será de 110.000 millones de pesos.
Locales | Así lo determinó este miércoles la Cámara Segunda en lo Criminal. En lo que fue la audiencia de cesura, donde se determina la pena que le cabe a los imputados encontrados culpables por jurados populares, se determinó que el exagente penitenciario, Gabriel Willener deberá cursar una pena de prisión perpetua, como autor del homicidio de Ricardo Molina, al igual que Alicia del Carmen Aranda, como partícipe necesaria. Molina fue asesinado de tres balazos por la espalda el 10 de marzo de 2019, en Fontana.





Página 1119 de 5572
Copyright ©2011 | www.ActualidadChaco.com
www.iefer.org.ar | Todos los derechos reservados
info@actualidadchaco.com | redaccion@actualidadchaco.com
Fundación IEFER
Portada | Locales | El interior | Regionales | Nacionales | Internacionales | Deportes | Espectáculos

DESARROLADO POR: www.chamigonet.com.ar